Convolutional Neural Network (CNN) untuk Deteksi Tumor Otak
TweetPerkembangan teknologi Artificial Intelligence (AI), khususnya Deep Learning, telah membawa perubahan signifikan dalam bidang medis. Salah satu implementasi yang banyak diteliti adalah deteksi tumor otak berbasis citra MRI (Magnetic Resonance Imaging) menggunakan metode Convolutional Neural Network (CNN).
-untuk-Deteksi-Tumor-Otak.jpg)
Penelitian ini dikembangkan sebagai proyek skripsi dengan tujuan membangun sistem klasifikasi tumor otak yang akurat, cepat, dan mampu membantu proses analisis citra medis secara otomatis.
Latar Belakang
Tumor otak merupakan kondisi serius yang membutuhkan diagnosis cepat dan tepat. Pemeriksaan menggunakan MRI menghasilkan citra detail struktur otak, namun interpretasi manual oleh tenaga medis membutuhkan waktu dan ketelitian tinggi.
Dengan memanfaatkan CNN, sistem dapat:
- - Mengidentifikasi pola pada citra MRI
- - Mengklasifikasikan jenis tumor
- - Mengurangi potensi human error
- - Mempercepat proses analisis awal

Dataset dan Kategori Klasifikasi
Pada penelitian ini, dataset citra MRI dibagi ke dalam 4 kategori utama:
- - Glioma Tumor
- - Meningioma Tumor
- - Pituitary Tumor
- - No Tumor (Normal)
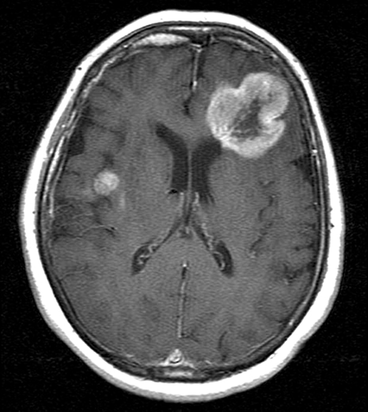
Contoh data latih untuk kategori meningioma tumor ditunjukkan pada gambar referensi, yang memperlihatkan variasi bentuk, ukuran, dan posisi tumor pada citra MRI.
Variasi ini menjadi tantangan tersendiri dalam proses pelatihan model karena sistem harus mampu mengenali pola meskipun bentuk tumor berbeda-beda.

Metode: Convolutional Neural Network (CNN)
CNN merupakan arsitektur Deep Learning yang sangat efektif dalam pengolahan citra. Model ini bekerja melalui beberapa tahapan utama:
1. Convolution Layer
Mengekstraksi fitur penting dari citra seperti tepi, tekstur, dan bentuk.
2. Pooling Layer
Mengurangi dimensi citra untuk meningkatkan efisiensi komputasi.
3. Fully Connected Layer
Melakukan klasifikasi berdasarkan fitur yang telah dipelajari.
Model dilatih menggunakan data training dan diuji menggunakan data testing untuk mengevaluasi performa sistem.
Hasil Evaluasi Model
Berdasarkan confusion matrix pada hasil pengujian, model menunjukkan performa yang sangat baik dalam mengklasifikasikan keempat kategori tumor.
Beberapa poin penting dari hasil evaluasi:
- - Akurasi tinggi pada kelas glioma tumor
- - Klasifikasi pituitary tumor menunjukkan tingkat prediksi yang sangat stabil
- - Kesalahan klasifikasi relatif kecil dan masih dalam batas wajar
- - Model mampu membedakan antara tumor dan non-tumor secara efektif
- - Confusion matrix menunjukkan bahwa sebagian besar data berhasil diprediksi dengan benar (nilai diagonal yang dominan), menandakan model telah belajar dengan baik dari dataset
Keunggulan Sistem
- -Otomatisasi proses klasifikasi
- -Mengurangi waktu analisis citra medis
- -Dapat dikembangkan menjadi sistem berbasis web atau aplikasi
- -Potensi integrasi dengan sistem rumah sakit
Implementasi dalam Penelitian Skripsi
Proyek ini dirancang sebagai penelitian skripsi dengan tahapan:
- -Studi literatur terkait CNN dan citra medis
- -Pengumpulan dan preprocessing dataset
- -Perancangan arsitektur CNN
- -Pelatihan dan pengujian model
- -Evaluasi menggunakan confusion matrix, akurasi, presisi, dan recall
- -Implementasi sistem dalam bentuk aplikasi
- -Penelitian ini tidak hanya berfokus pada teori, tetapi juga pada implementasi sistem yang dapat dijalankan secara nyata
Kesimpulan
Metode Convolutional Neural Network (CNN) terbukti efektif dalam mendeteksi dan mengklasifikasikan tumor otak berbasis citra MRI. Dengan performa yang baik dan tingkat kesalahan yang rendah, sistem ini berpotensi menjadi alat bantu diagnosis awal dalam dunia medis.
Penelitian ini menunjukkan bahwa penerapan AI dalam bidang kesehatan memiliki prospek yang sangat besar, khususnya dalam analisis citra medis.
Tertarik Membuat Penelitian Serupa?
Jika Anda sedang mengerjakan skripsi atau tugas akhir dengan topik:
- -Deteksi tumor otak
- -Klasifikasi citra medis
- -Deep Learning / CNN
- -Computer Vision
- -Sistem berbasis AI
Tim kami siap membantu mulai dari perancangan, pembuatan model, hingga implementasi sistem.
Website: https://jasapembuatanaplikasiskripsi.com/
WhatsApp: 0856 0178 8364
Silakan hubungi kami untuk konsultasi gratis mengenai kebutuhan penelitian Anda.
#SkripsiInformatika #SkripsiTeknikInformatika #DeepLearning #ConvolutionalNeuralNetwork #CNN #ComputerVision #ArtificialIntelligence #DeteksiTumorOtak #KlasifikasiCitra #CitraMRI #MedicalImaging #PenelitianAI #SistemCerdas #JasaPembuatanSkripsi #JasaAI #JasaDeepLearning #JasaPembuatanAplikasiSkripsi
Portofolio
Berikut kami tampilkan beberapa portofolio yang pernah kami kerjakan. Lihat Selengkapnya
Oleh : Firda
Tanggal Publikasi :
Bebas DP bagi Skripsi dengan Judul dan Konsep yang Jelas
Sisa Kuota 2